症例紹介
小児矯正
-
小児矯正
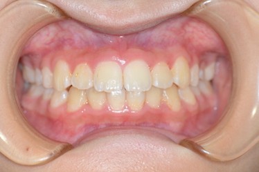
骨格性上顎前突(2段階治療)
-

Before
-

After
治療内容 1期:バイオネーター、リンガルアーチ 2期:マルチブラケット 治療期間・治療回数 6年11ヶ月・48回 治療費用 797,700円(税込) リスク・副作用 歯根吸収・歯肉退縮の可能性があります。磨き残しによる歯肉炎やむし歯が発症する可能性があります。歯の動き方には個人差があり、計画通りに治療が進まないことがあります。保険適用ができない自費診療になります。 Before

After

-
