症例紹介
小児矯正
-
小児矯正
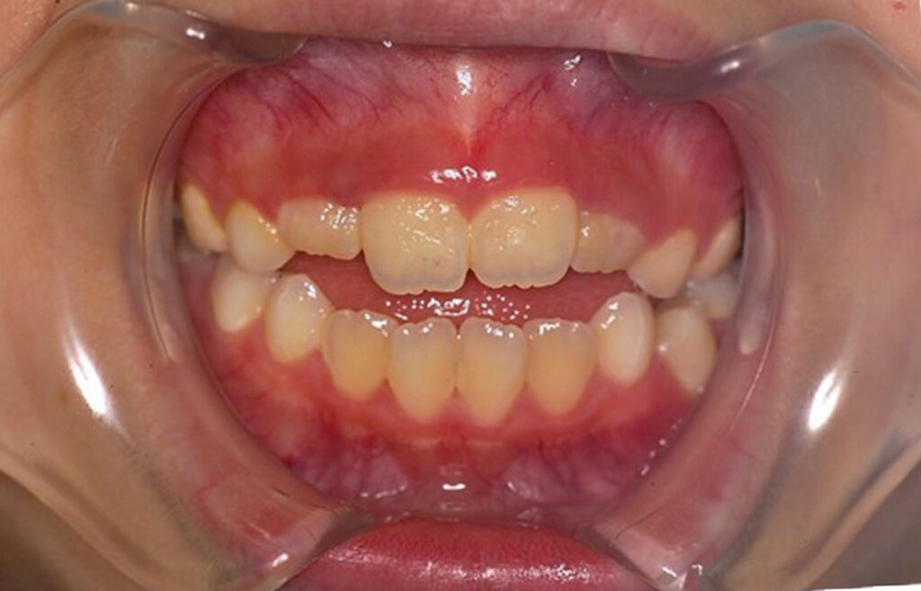
舌癖による開口
-

Before
-

After
治療内容 一期治療 タングクリブのみ 治療期間・治療回数 23回 治療費用 384,300円(税込) リスク・副作用 歯根吸収・歯肉退縮の可能性があります。磨き残しによる歯肉炎やむし歯が発症する可能性があります。歯の動き方には個人差があり、計画通りに治療が進まないことがあります。保険適用ができない自費診療になります。 Before

After

-
症例紹介
小児矯正

Before

After
| 治療内容 | 一期治療 タングクリブのみ |
|---|---|
| 治療期間・治療回数 | 23回 |
| 治療費用 | 384,300円(税込) |
| リスク・副作用 | 歯根吸収・歯肉退縮の可能性があります。磨き残しによる歯肉炎やむし歯が発症する可能性があります。歯の動き方には個人差があり、計画通りに治療が進まないことがあります。保険適用ができない自費診療になります。 |

