症例紹介
すべての投稿
-
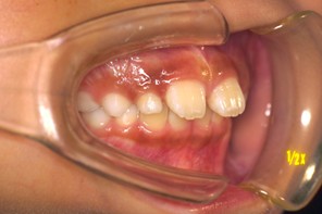
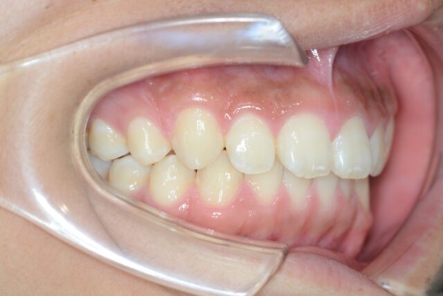
小児矯正
骨格性上顎前突(2段階治療)
詳しく見る-

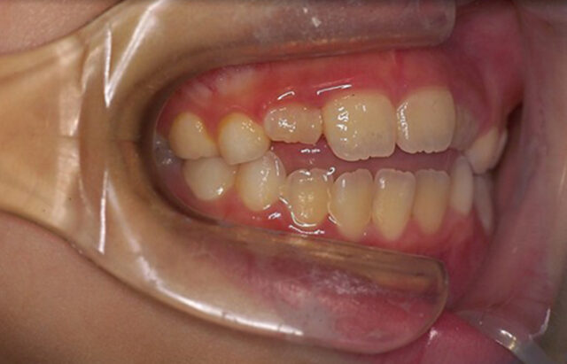
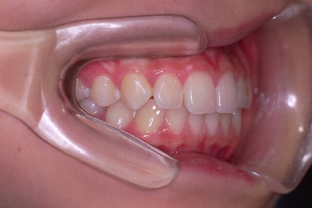
Before
-

After
治療内容 1期:バイオネーター、バイトプレート、リンガルアーチ 2期:マルチブラケット 治療期間・治療回数 7年10ヶ月・48回 治療費用 845,910円(税込) リスク・副作用 歯根吸収・歯肉退縮の可能性があります。磨き残しによる歯肉炎やむし歯が発症する可能性があります。歯の動き方には個人差があり、計画通りに治療が進まないことがあります。保険適用ができない自費診療になります。 -
-
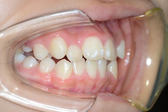
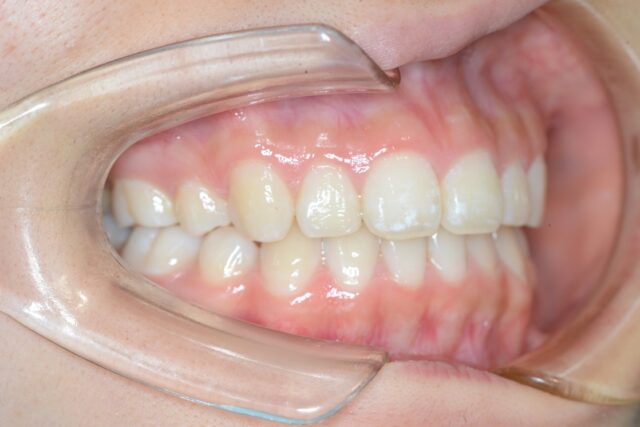
小児矯正
骨格性上顎前突(2段階治療)
詳しく見る-

Before
-

After
治療内容 1期:バイオネーター、リンガルアーチ 2期:マルチブラケット 治療期間・治療回数 6年11ヶ月・48回 治療費用 797,700円(税込) リスク・副作用 歯根吸収・歯肉退縮の可能性があります。磨き残しによる歯肉炎やむし歯が発症する可能性があります。歯の動き方には個人差があり、計画通りに治療が進まないことがあります。保険適用ができない自費診療になります。 -
-
成人矯正
叢生
詳しく見る-

Before
-

After
治療内容 マルチブラケット 抜歯上下第一小臼歯4本 治療期間・治療回数 5年7ヶ月・49回 治療費用 794,750円(税込) リスク・副作用 歯根吸収・歯肉退縮の可能性があります。磨き残しによる歯肉炎やむし歯が発症する可能性があります。歯の動き方には個人差があり、計画通りに治療が進まないことがあります。保険適用ができない自費診療になります。 -
-
小児矯正
舌癖による開口
詳しく見る-

Before
-

After
治療内容 一期治療 タングクリブのみ 治療期間・治療回数 23回 治療費用 384,300円(税込) リスク・副作用 歯根吸収・歯肉退縮の可能性があります。磨き残しによる歯肉炎やむし歯が発症する可能性があります。歯の動き方には個人差があり、計画通りに治療が進まないことがあります。保険適用ができない自費診療になります。 -
